Evaluate a trained model#
Task: Here we will test our tissue classifier on unseen data during training.
This notebook will show you how to:
Create a dataloader for the testing data
Load pretrained model
Perform predictions
Use the confusion matrix to see which tissue types the model is confused about
Inspect per-class metrics (precision/recall) to detect underperformance
Inspect top scoring tiles for qualitative insight
Dataset
For testing our trained model, we will use the CRC-VAL-HE-7K dataset, which has already been downloaded for you. This is a set of 7180 image patches from N = 50 patients with colorectal adenocarcinoma (no overlap with patients in NCT-CRC-HE-100K). Like in the NCT-CRC-HE-100K data set, images are 224 x 224 px at 0.5 MPP. All tissue samples were provided by the NCT tissue bank, see the Zenodo link for further details and ethics statement:
Kather, J. N., Halama, N., & Marx, A. (2018). 100,000 histological images of human colorectal cancer and healthy tissue (v0.1) [Data set]. Zenodo. https://doi.org/10.5281/zenodo.1214456
Imports#
from torchvision import transforms, datasets
import torch
from torch.utils.data import DataLoader
from tqdm import tqdm
from sklearn.metrics import classification_report, confusion_matrix, roc_curve, auc
from sklearn.preprocessing import label_binarize
import matplotlib.pyplot as plt
import seaborn as sns
import numpy as np
import random
from cmcrameri import cm
from model import SimpleCNN
from utils import *
# for faster predictions, we select gpu again
device = torch.device("cuda" if torch.cuda.is_available() else "cpu")
print(f"Using device: {device}")
Using device: cuda
Prepare the dataloader#
#data_path = "/data/horse/ws/lazi257c-come2data_workshop/data/CRC-VAL-HE-7K"
data_path = f"/tmp/{os.environ["USER"]}.nctcrc/CRC-VAL-HE-7K"
imagenet_mean = (0.485, 0.456, 0.406)
imagenet_std = (0.229, 0.224, 0.225)
test_transform = transforms.Compose([
transforms.ToTensor(),
transforms.Normalize(mean=imagenet_mean, std=imagenet_std),
])
test_data = datasets.ImageFolder(data_path, transform=test_transform)
classes = test_data.classes
paths = [p for p,_ in test_data.samples]
print(f"Classes (N = {len(classes)}):", classes)
Classes (N = 9): ['ADI', 'BACK', 'DEB', 'LYM', 'MUC', 'MUS', 'NORM', 'STR', 'TUM']
BATCH = 64
test_loader = DataLoader(test_data, batch_size=BATCH, shuffle=False, num_workers=6)
Load the model#
ckpt_path = "best_model.pth"
ckpt = torch.load(ckpt_path, map_location="cpu")
classes = ckpt["classes"]
num_classes = len(classes)
img_size = ckpt.get("img_size", 224)
# compare if the classes the model was trained on are the same as in the test data
print(f"Classes (N = {num_classes}):", classes)
print(f"Image size: {img_size}")
Classes (N = 9): ['ADI', 'BACK', 'DEB', 'LYM', 'MUC', 'MUS', 'NORM', 'STR', 'TUM']
Image size: 224
# now we create an instance of our model and move it to the selected device (CPU or GPU)
model = SimpleCNN(num_classes).to(device)
model = SimpleCNN(num_classes)
model.load_state_dict(ckpt["state_dict"])
model.to(device).eval()
SimpleCNN(
(net): Sequential(
(0): Conv2d(3, 16, kernel_size=(3, 3), stride=(1, 1), padding=(1, 1), bias=False)
(1): BatchNorm2d(16, eps=1e-05, momentum=0.1, affine=True, track_running_stats=True)
(2): ReLU(inplace=True)
(3): MaxPool2d(kernel_size=2, stride=2, padding=0, dilation=1, ceil_mode=False)
(4): Conv2d(16, 32, kernel_size=(3, 3), stride=(1, 1), padding=(1, 1), bias=False)
(5): BatchNorm2d(32, eps=1e-05, momentum=0.1, affine=True, track_running_stats=True)
(6): ReLU(inplace=True)
(7): MaxPool2d(kernel_size=2, stride=2, padding=0, dilation=1, ceil_mode=False)
(8): Conv2d(32, 64, kernel_size=(3, 3), stride=(1, 1), padding=(1, 1), bias=False)
(9): BatchNorm2d(64, eps=1e-05, momentum=0.1, affine=True, track_running_stats=True)
(10): ReLU(inplace=True)
(11): AdaptiveAvgPool2d(output_size=1)
(12): Flatten(start_dim=1, end_dim=-1)
(13): Linear(in_features=64, out_features=9, bias=True)
)
)
Make the predictions#
all_probs, all_preds, all_true = [], [], []
with torch.no_grad():
for x,y in tqdm(test_loader, desc="predicting"):
x = x.to(device)
logits = model(x)
probs = logits.softmax(1).cpu()
preds = probs.argmax(1)
all_probs.append(probs)
all_preds.append(preds)
all_true.append(y)
all_probs = torch.cat(all_probs) # (N, num_classes)
all_preds = torch.cat(all_preds) # (N,)
all_true = torch.cat(all_true) # (N,)
print("Prediction completed. Number of samples:", len(all_preds))
predicting: 100%|██████████| 113/113 [00:02<00:00, 43.20it/s]
Prediction completed. Number of samples: 7180
Quantitative metrics#
First, we will plot a confusion matrix, which is a table that is used to evaluate the performance of a machine learning/deep learning models. The table contains information about the model’s predictions on a set of data, and how those predictions compare to the actual values. The matrix is constructed by comparing the predicted labels from the model against the true labels in the test dataset. The matrix is arranged into four quadrants in case of binary (two class) classification: true positives (TP), false positives (FP), true negatives (TN), and false negatives (FN). In our case, we have a multiclass problem. Therefore, each row shows the true class and each column shows the model’s prediction. The numbers on the diagonal mean correct predictions; large values off the diagonal show which true class is being confused with which predicted class. If a row spreads across many columns the model often misclassifies that true class; if a column is bright beyond its diagonal the model over-predicts that class.
Many evaluation metrics are derived from the TP, TN, FP, FN values. To obtain them in a multiclass setting, you can pick one class and read the matrix “one-vs-rest.” The diagonal cell for that class are the true positives (TP). The other cells in that row are false negatives (FN) (they were that class, but the model predicted something else). The other cells in that column are false positives (FP) (they were other classes, but the model predicted as this one). Everything not in that row or column are true negatives.
Precision asks, “of what the model called this class, how many really are?”
Recall asks, “of all that truly are this class, how many did we catch?”
Specificity asks, “of all that are not this class, how many did we correctly reject?”
F1 is a single score that balances precision and recall.
conf_matrix = confusion_matrix(all_true, all_preds, labels=range(len(classes)))
plt.figure(figsize=(6,6))
sns.heatmap(conf_matrix, annot=True, fmt="d", cmap=cm.acton, cbar=True, xticklabels=classes, yticklabels=classes, square=True)
plt.xlabel("Predicted")
plt.ylabel("True")
plt.title("Confusion Matrix (counts)")
plt.tight_layout()
plt.show()

Next, we will use the classification_report
function from scikit-learn, which returns a report containing precision, recall, f1-score, accuracy and support for each class.
“Support” here refers to the number of samples in the target that belong to each class.
print(classification_report(all_true, all_preds, target_names=classes, digits=4))
precision recall f1-score support
ADI 0.9888 0.7287 0.8391 1338
BACK 0.9702 1.0000 0.9849 847
DEB 0.2745 0.1652 0.2063 339
LYM 0.8728 0.9196 0.8955 634
MUC 0.9805 0.8744 0.9244 1035
MUS 0.3567 0.5591 0.4355 592
NORM 0.8475 0.8772 0.8621 741
STR 0.4424 0.4561 0.4491 421
TUM 0.8304 0.9408 0.8821 1233
accuracy 0.7937 7180
macro avg 0.7293 0.7246 0.7199 7180
weighted avg 0.8155 0.7937 0.7973 7180
As a last quantitative evaluation metric, AU-ROC (Area Under the Receiver Operating Characteristic Curve) is a common evaluation metric used to assess the performance of classifier models. The ROC curve is a graphical representation of the relationship between the true positive rate (TPR) and the false positive rate (FPR) at different thresholds. A classification threshold is the value used by the model to determine whether a predicted probability corresponds to a positive or negative class label. The TPR is the proportion of positive instances that are correctly classified by the model, while the FPR is the proportion of negative instances that are incorrectly classified as positive by the model. The AU-ROC value is a measure of the area under the ROC curve, and it ranges from 0 to 1. A model with an AU-ROC value of 1 indicates perfect performance, while a value of 0.5 indicates that the model performs no better than random guessing. In general, a higher AU-ROC value indicates better performance of the classifier model, and it is commonly used to compare the performance of different models. AU-ROC is a popular metric in machine learning because it is unaffected by changes in class distribution, making it a reliable way to evaluate the performance of classifier models.
probs = all_probs.detach().cpu().numpy()
y_true = all_true.detach().cpu().numpy()
C = probs.shape[1]
# Binarize labels for one-vs-rest ROC
Y = label_binarize(y_true, classes=np.arange(C))
plt.figure(figsize=(7,6))
plt.plot([0,1], [0,1], 'k--', alpha=0.4, label="random")
valid_classes = 0
for k in range(C):
yk = Y[:, k]
fpr, tpr, _ = roc_curve(yk, probs[:, k])
auc_k = auc(fpr, tpr)
plt.plot(fpr, tpr, label=f"{classes[k]} (AUC={auc_k:.3f})")
valid_classes += 1
plt.xlabel("False Positive Rate")
plt.ylabel("True Positive Rate")
plt.title("One-vs-Rest ROC (per class)")
plt.legend(loc="lower right", fontsize=9, ncol=2)
plt.grid(True, alpha=0.3)
plt.tight_layout()
plt.show()

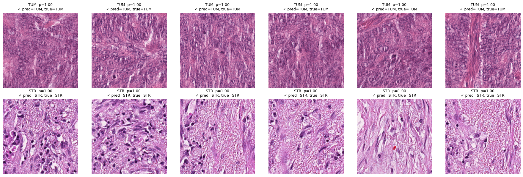
Basic qualitative explainability#
# Top-6 tiles most confidently scored as TUM or STR (regardless of ground truth)
show_topk_for_classes(test_data, ["TUM","STR"], all_probs, all_preds, all_true, k=6, mode="target", only=None)

# Only false positives (where model predicted MUC but it was wrong)
show_topk_for_classes(test_data, ["MUC"], all_probs, all_preds, all_true, k=8, mode="pred", only="fp")

# Only false positives (where model predicted MUC but it was wrong)
show_topk_for_classes(test_data, ["NORM"], all_probs, all_preds, all_true, k=8, mode="pred", only="fp")
